Máy siêu âm 5d sonoscape p25 cao cấp
| Tình trạng : | Còn hàng |
| Model : | P25 |
Máy siêu âm 5d Sonoscape P25 được ứng dụng công nghệ tiên tiến của SonoScape để cung cấp hình ảnh độ nét cao nhằm tăng đáng kể độ tin cậy trong chẩn đoán. Với đầu dò chuyên dụng mang lại tính linh hoạt trong lâm sàng
| Số lượng yêu cầu : |
|
Máy siêu âm 5D Sonoscape P25 ứng dụng công nghệ tiên tiến cho hình ảnh sắc nét:
Trải qua nhiều năm tích lũy kinh nghiệm kỹ thuật trong lĩnh vực siêu âm, máy siêu âm 5d Sonocape P25 ra đời đã được kế thừa và được hỗ trợ bởi công nghệ tiên tiến của SonoScape để cung cấp hình ảnh độ nét cao nhằm tăng đáng kể độ tin cậy trong chẩn đoán. Các tính năng phức tạp và cấu hình đầu dò phong phú cung cấp một giải pháp toàn diện để quản lý tất cả các khía cạnh của thực hành lâm sàng hàng ngày một cách dễ dàng và chắc chắn.

Những ưu điểm tuyệt vời mà máy siêu âm 5d Sonoscape P25 mang lại:
Broad Bandwidth Platform:
Hệ thống siêu băng thông và công nghệ thăm dò tiên tiến cho phép thu thập thông tin tốt hơn. Chúng cung cấp độ phân giải cao hơn ở độ sâu với chất lượng hình ảnh nâng cao để chẩn đoán chính xác.

Spatial Compound Imaging:
TheSpatial Compound Imaging sử dụng một số đường ngắm để có độ phân giải tương phản tối ưu, giảm đốm sáng và phát hiện đường viền, trong đó P25 lý tưởng để chụp ảnh bề mặt và vùng bụng với độ rõ nét hơn và cải thiện tính liên tục của cấu trúc.

µ-Scan +
Công nghệ hình ảnh µ-Scan thế hệ mới mang đến cho bạn chất lượng hình ảnh tốt hơn bằng cách giảm nhiễu, cải thiện cường độ tín hiệu và cải thiện khả năng hiển thị.

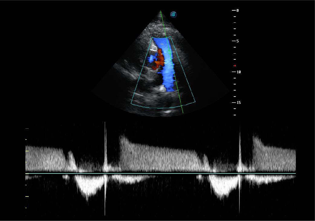
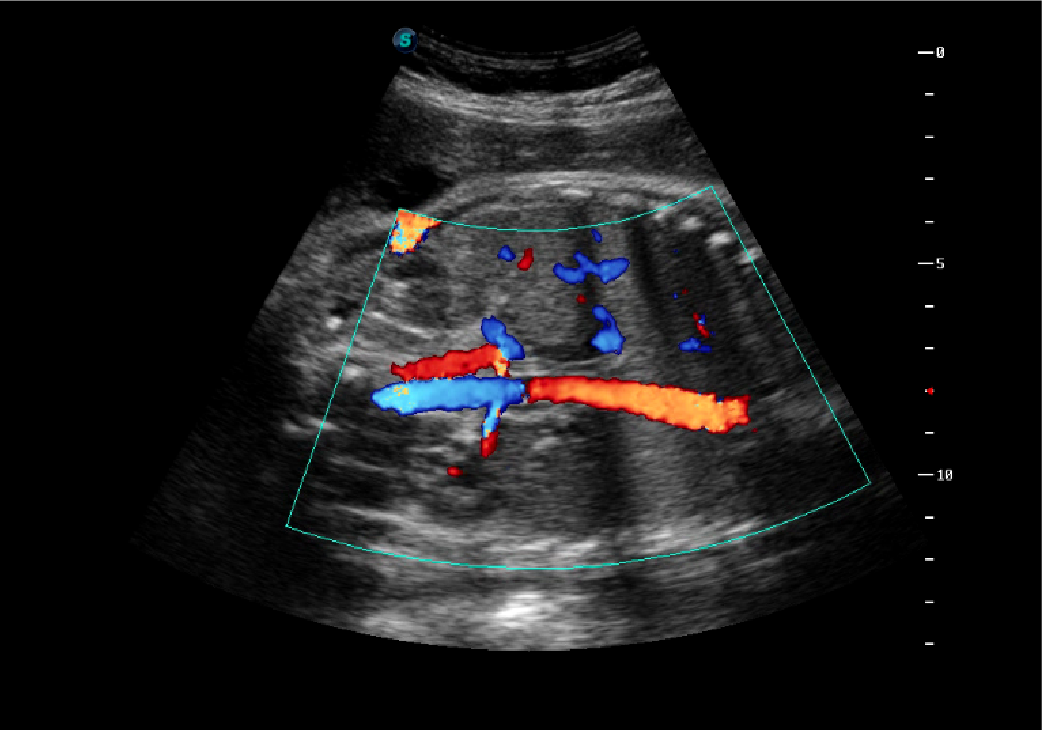
Dynamic Color
Màu sắc động được cải thiện dựa trên các công nghệ Doppler màu hiện có để ghi lại dòng màu rõ ràng hơn và hình ảnh chi tiết ngay cả các tĩnh mạch nhỏ với vận tốc thấp hơn

Extraordinary Images
Để nâng cao sự tin cậy trong chẩn đoán của các bác sĩ, SonoScape đã ban tặng cho P25 chất lượng hình ảnh tuyệt vời để nó có thể khôi phục thêm chi tiết và thông tin của các cấu
trúc giải phẫu với các đầu dò toàn diện của nó.





Máy siêu âm 5d Sonoscape P25 với tính năng toàn diện bao gồm các ứng dụng toàn dải:
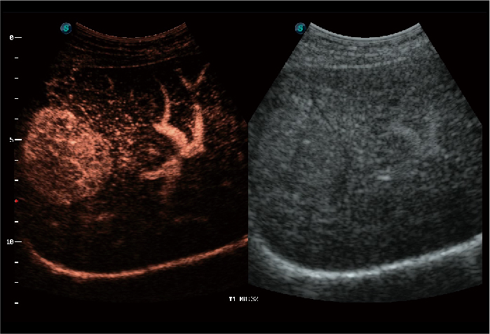
Contrast Imaging
Các chất tương phản cung cấp phản xạ tín hiệu lớn, cho hình ảnh nâng cao hơn về dòng máu khó quan sát. Tính năng Dynamic Acoustic Control của SonoScape Contrast Imaging cung cấp chất lượng hình ảnh với liều lượng tác nhân nhỏ hơn.

C-xlasto Imaging
C-xlasto Imaging cho phép phân tích đàn hồi định lượng toàn diện. Nó được hỗ trợ bởi nhiều đầu dò để đảm bảo độ tái lập tốt và kết quả đàn hồi định lượng nhất quán cao.

Vis-Needle
Vis-Needle được thực hiện bằng cách lái và làm lệch chùm tia siêu âm. Nó cải thiện hình ảnh của trục kim và đầu kim trong mô để giảm thiểu tác hại đến mô xung quanh, tăng tỷ lệ thành công ban đầu và giảm nguy cơ đâm kim.

S-Live Silhouette
S-Live Silhouette là một hình ảnh thể tích trong suốt độc đáo để có cái nhìn toàn diện hơn về giải phẫu bên trong và bên ngoài, đồng thời cung cấp thêm thông tin chẩn đoán phong phú cho phòng khám.

Auto EF
Để nhận biết mật độ cơ tim trong thời kỳ tâm trương và tâm thu và tự động tính toán phân suất tống máu.

Đầu dò đặc biệt cho các nhu cầu cụ thể
P25 đáp ứng nhiều nhu cầu lâm sàng trong phẫu thuật với hơn 5 đầu dò chuyên khoa mang lại tính linh hoạt để mở rộng các dịch vụ lâm sàng

Thông tin liên hệ để được tư vấn trực tiếp
Hotline: 0937.656.355 | Email: maysieuamvnhcm@gmail.com
Xem thêm