Máy siêu âm 5d Sonoscape S50 ứng dụng công nghệ hiện đại
| Tình trạng : | Còn hàng |
Máy siêu âm 5d Sonoscape S50 được trang bị đầu dò đơn tinh thể mạnh mẽ, chức năng 4D đáng chú ý và quy trình làm việc thông minh, giúp đáp ứng nhiều nhu cầu hình ảnh nói chung. Được trang bị phần mềm và phần cứng đặc biệt, S50 là một thiết kế cân bằng tốt, bên trong và bên ngoài.
Máy siêu âm 5d Sonoscape S50 là máy siêu âm của kỷ nguyên mới
Máy siêu âm 5d Sonocape S50 với chất lượng hình ảnh tuyệt vời, mang một nền tảng nâng cấp, toàn diện, để trở thành một hệ thống siêu âm tạo kỷ nguyên. Nó được trang bị đầu dò đơn tinh thể mạnh mẽ, chức năng 4D đáng chú ý và quy trình làm việc thông minh, giúp đáp ứng nhiều nhu cầu hình ảnh nói chung. Được trang bị phần mềm và phần cứng đặc biệt, S50 là một thiết kế cân bằng tốt, bên trong và bên ngoài. Màn hình cảm ứng phản hồi nhanh, các thao tác chuyển đổi chế độ và lưu trữ mang đến một tiêu chuẩn mới với sự rõ ràng và linh hoạt.

Ưu điểm vượt trội mà máy siêu âm 5D Sonosacape S50 có được:
Clarity through improved uniformity and sensitivity:
S50 được trang bị đầu dò đơn tinh thể băng tần rộng để quét vùng bụng và tim, có thể cải thiện đáng kể tỷ lệ tín hiệu trên nhiễu và thu được hình ảnh tuyệt đẹp với độ phân giải tốt hơn và chi tiết hình ảnh phong phú hơn. So với đầu dò thông thường, đầu dò đơn tinh thể đã cải thiện đáng kể khả năng chuyển đổi năng lượng âm thanh, có nghĩa là đầu dò có hiệu suất tốt hơn cũng như tuổi thọ làm việc lâu hơn.
Thiết kế của S50 đã được cân nhắc sử dụng trong hoạt động, tạo ra một môi trường chẩn đoán thoải mái. Thiết kế tiện dụng, khả năng tương tác giữa người và máy xuất sắc và phản ứng nhanh chóng, biến S50 trở thành trợ lý quét thông minh cho bạn, mang lại hiệu quả được cải thiện và giúp tránh mệt mỏi khi làm nhiều kỳ thi.
Màn hình LED rộng
Máy trạm tích hợp
Máy làm ấm gel tích hợp
Bảng điều khiển hoàn toàn có thể điều chỉnh
Kết nối Wi-Fi không dây

Hình ảnh C-xlasto
Bằng cách hiểu rằng độ cứng của mô thay đổi tùy thuộc vào loại mô, chúng ta có thể sử dụng điều này để dễ dàng tìm thấy các bất thường và khối u trong mô mềm. Khi áp dụng áp lực nhất quán và lặp lại với đầu dò trên mô mềm, hệ thống có thể nhanh chóng tính toán Tỷ lệ sức căng của khu vực và đưa ra Đường cong sức căng thông minh để ghi lại áp lực tác dụng để hỗ trợ chẩn đoán bất thường. Trước hết chỉ được sử dụng với các đầu dò tuyến tính, đầu dò âm đạo mới của SonoScape dành cho phụ khoa đang phá vỡ khuôn mẫu và mở rộng các ứng dụng đo độ đàn hồi sang các đầu dò phi tuyến tính.
Contrast Imaging
Hình ảnh tương phản là việc sử dụng các chất tương phản đủ nhỏ để đi vào các tĩnh mạch nhỏ nhất trong cơ thể và vẫn cung cấp phản xạ tín hiệu lớn để sóng siêu âm thu nhận. Sự phản xạ tín hiệu lớn như vậy cho phép siêu âm hiển thị chính xác các tĩnh mạch nhỏ trong cơ thể, lượng máu trong các cơ quan khác nhau và giúp đo lưu lượng máu. S50 đưa nó đi một bước xa hơn bằng cách cung cấp độ phân giải tốt hơn và độ thâm nhập sâu hơn, tối đa hóa tuổi thọ ngắn của bong bóng chất tương phản bằng cách cho hình ảnh rõ ràng hơn, đầy đủ hơn của cơ quan mong muốn.
Auto IMT
IMT tự động được sử dụng khi xác định mức độ xơ cứng mạch máu ở bệnh nhân bằng cách tự động theo dõi và tính toán độ dày của mạch cảnh.
Tissue Doppler Imaging
Hình ảnh Doppler mô cho phép bạn đánh giá định lượng các chuyển động và chức năng của cơ tim cục bộ, với các thông số về tốc độ và sức căng / tốc độ biến dạng.
Stress Echo
Siêu âm tim gắng sức là sự kết hợp của siêu âm tim 2D với tình trạng căng thẳng về thể chất, dược lý hoặc điện của bệnh nhân. Nó cũng cung cấp cho người dùng các công cụ quản lý báo cáo như trình chỉnh sửa mẫu có thể định cấu hình, nhiều vòng lặp để chọn một vòng để lưu trữ, chấm điểm chuyển động trên tường, báo cáo tiếng vang căng thẳng, v.v.
Máy siêu âm 5d Sonoscape S50 được định cấu hình với một công cụ hình ảnh mới, có thể tối ưu hóa đáng kể hiệu suất hình ảnh, đặc biệt là cho hình ảnh 3D / 4D với tốc độ và sự tiện lợi. Hiệu suất âm lượng vượt trội làm cho S50 vượt trội hơn những người khác về hình ảnh âm lượng và nâng cao đáng kể sự tự tin trong chẩn đoán.
Inversion 4D
Nó cung cấp đánh giá chuyên sâu hơn về các khe hẹp mạch máu và nang tạo ra một thể tích giống như đúc ba chiều của giải phẫu quan tâm.

S-Live
Nó cho phép hình dung chi tiết các đặc điểm giải phẫu tinh vi, do đó cho phép chẩn đoán trực quan trên hình ảnh 3D thời gian thực và làm phong phú thêm giao tiếp với bệnh nhân.

S-Depth
Nó có thể tự động hiển thị mối quan hệ khoảng cách gần và địch từ đầu dò đến mục tiêu, được trình bày bằng mã màu được thiết kế thông minh. Nó có thể giúp các bác sĩ đánh giá mối quan hệ không gian trên hình ảnh 3D thời gian thực.

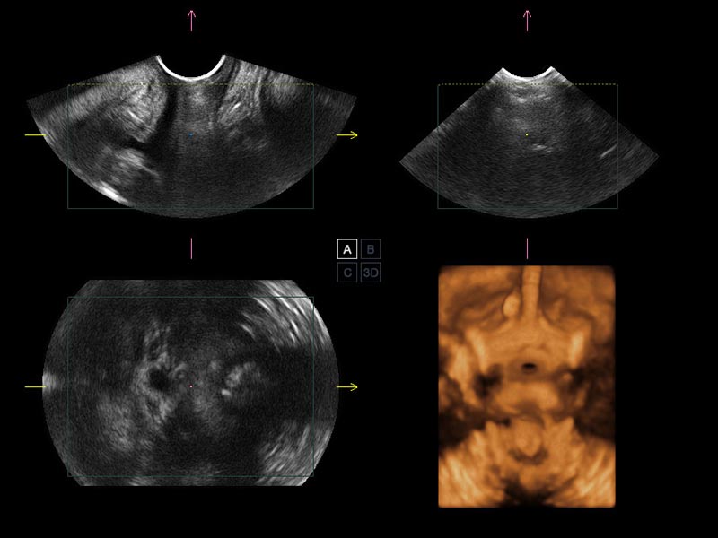
Pelvic Floor 4D
Siêu âm tầng sinh môn 4D qua tử cung có thể cung cấp các giá trị lâm sàng hữu ích trong việc đánh giá tác động của cuộc sinh qua ngả âm đạo lên ngăn trước của nữ giới, đánh giá xem các cơ quan vùng chậu có bị sa hay không và mức độ, xác định chính xác các cơ vùng chậu có bị rách hay không.

Thông tin liên hệ để được tư vấn trực tiếp
Hotline: 0937.656.355 | Email: maysieuamvnhcm@gmail.com
Xem thêm