
Hình ảnh được cải tiến, nâng cấp rõ nét hơn
SonoScape không ngừng tiến bộ xử lý việc cải thiện chất lượng hình ảnh của các sản phẩm siêu âm của mình để nâng cao sự tự tin, độ chính xác trong chẩn đoán cho các bác sĩ. Với những hình ảnh đặc biệt do P20 cung cấp, các cấu trúc giải phẫu rõ ràng hơn bao giờ hết.



Sonoscape P20 cung cấp hình ảnh vượt trội
Hình ảnh C-Xlasto
Với C-xlasto Imaging, P20 cho phép phân tích độ đàn hồi định lượng toàn diện. Trong khi đó, C-xlasto trên P20 được hỗ trợ bởi các đầu dò tuyến tính, lồi và xuyên âm đạo, để đảm bảo khả năng tái lập tốt và kết quả đàn hồi định lượng nhất quán cao.


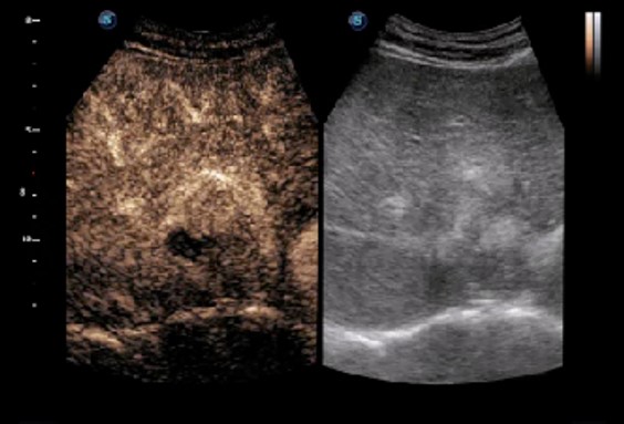
Hình ảnh tương phản
Hình ảnh tương phản với 8 đường cong TIC cho phép bác sĩ đánh giá động lực tưới máu trong một loạt các cơ sở lâm sàng, bao gồm cả vị trí và đánh giá các bộ phận tổn thương.

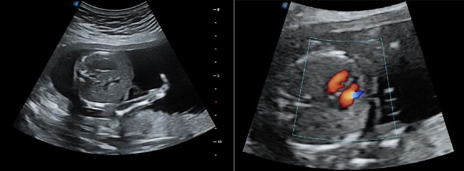
S-Live/Hdlive/5D
S-Live cho phép hiển thị chi tiết các đặc điểm giải phẫu tinh vi, từ đó cho phép chẩn đoán trực quan với hình ảnh 3D thời gian thực và giao tiếp với bệnh nhân phong phú hơn.

Tầng chậu 4D
Siêu âm tầng sinh môn 4D qua tử cung có thể cung cấp những giá trị lâm sàng hữu ích trong việc đánh giá tác động của cuộc sinh qua ngả âm đạo lên ngăn trước của nữ giới, đánh giá xem các cơ quan vùng chậu có bị sa hay không và mức độ, xác định chính xác cơ vùng chậu có bị rách hay không.

Chế độ Anatomic M
Anatomic M Mode giúp bạn quan sát chuyển động của cơ tim ở các giai đoạn khác nhau bằng cách đặt các đường mẫu một cách tự do. Nó đo chính xác độ dày cơ tim và kích thước tim của ngay cả những bệnh nhân khó khăn, đồng thời hỗ trợ chức năng cơ tim và đánh giá chuyển động thành LV.

Hình ảnh Doppler mô
P20 được ưu đãi với Hình ảnh Doppler Mô cung cấp vận tốc và các thông tin lâm sàng khác về chức năng cơ tim, tạo điều kiện cho các bác sĩ lâm sàng có khả năng phân tích và so sánh chuyển động của các bộ phận khác nhau của tim bệnh nhân.

Dễ dàng đạt được nhiều hơn với một cú nhấp chuột
Ưu điểm vượt trội của máy siêu âm Sonoscape P20:
Các công cụ tự động của SonoScape P20 có thể giúp bạn đạt được nhiều hơn thế. Bác sĩ có thể truy cập kết quả chỉ với MỘT cú nhấp chuột. Các công cụ tự động bao gồm Auto NT, Auto Face và AVC Follicle trong ứng dụng OB / GYN, cũng như Auto EF, Auto IMT trong Tim mạch.
Thông tin liên hệ để được tư vấn trực tiếp
Hotline: 0937.656.355 | Email: maysieuamvnhcm@gmail.com
Xem thêm